Бутылочный кариес у детей: причины, лечение и как избежать разрушения молочных зубов
Бутылочный кариес у детей – это раннее и быстроразвивающееся поражение молочных зубов у малышей в возрасте до 2-3 лет. Его главная причина – длительное ночное кормление из бутылочки сладкими напитками (молоком, смесью, соком), после которого зубы не очищаются. Для лечения необходимо обратиться к стоматологу, он подберет оптимальный метод терапии в зависимости от стадии заболевания (реминерализация, серебрение или пломбирование). Избежать разрушения эмали поможет отказ от ночных кормлений после года, гигиена полости рта с появлением первого зуба и переход на питье обычной воды из чашки.
Что такое бутылочный кариес у детей
Бутылочный кариес – это агрессивная форма кариеса, которая поражает молочные зубы у детей раннего возраста, преимущественно до 3 лет. Он возникает из-за длительного контакта зубной эмали со сладкими жидкостями (молоком, смесью, соком) из бутылочки, особенно во время ночных кормлений. Кислота, которую вырабатывают бактерии, быстро разрушает тонкую эмаль, начиная с передних верхних зубов. Для профилактики критически важна гигиена полости рта и отказ от сладких напитков в ночное время.
Прежде всего бутылочный кариес поражает молочные зубки, и у него есть «излюбленная» локализация – это верхние резцы и клыки. Такая избирательность связана с тем, что при сосании бутылочки язык прикрывает нижние зубы, а верхние передние напрямую и длительно контактируют со сладкой жидкостью.
Заболевание начинается малозаметно. У десны на поверхности эмали появляются меловидные матовые белые пятна. Это первая и обратимая стадия, когда процесс деминерализации уже начался, но разрушения еще нет. Если на этом этапе не принять мер, пятна постепенно темнеют, становясь желтыми, коричневыми или черными, что сигнализирует о прогрессирующем разрушении.
Из-за тонкой эмали молочных зубов и особенностей питания процесс развивается очень быстро, буквально за несколько месяцев, и часто приобретает множественный характер, поражая сразу несколько зубов подряд. При отсутствии своевременного лечения кариес приводит к полному разрушению коронковой части, вплоть до основания десны. Это вызывает сильную боль, риск развития пульпита и негативно сказывается на зачатках постоянных зубов.
Почему развивается бутылочный кариес
Главная причина бутылочного кариеса – это частое кормление из бутылочки сладкими жидкостями (молоком, смесью, соком) перед сном или в течение ночи. Ночью слюноотделение уменьшается, и остатки пищи надолго прилипают к зубам, создавая идеальную среду для бактерий. Эти бактерии перерабатывают сахар в кислоту, которая быстро разрушает незрелую эмаль молочных резцов. Недостаточная гигиена полости рта усугубляет проблему, позволяя налету и кислоте беспрепятственно атаковать зубы.
Основные причины развития бутылочного кариеса:
Это главный провоцирующий фактор. Ночью выработка слюны, которая естественным образом очищает и защищает зубы, резко сокращается. В результате молочный сахар (лактоза) надолго остается на эмали, становясь пищей для кариесогенных бактерий.
Эти жидкости содержат ферментируемые углеводы (сахарозу, лактозу, фруктозу). Бактерии в полости рта активно перерабатывают их, выделяя органические кислоты, которые буквально растворяют незрелую эмаль молочных зубов.
Эта вредная привычка, которую иногда используют для успокоения ребенка, обеспечивает постоянное поступление концентрированного сахара непосредственно на поверхность зубов, многократно усиливая риск их разрушения.
Если зубы ребенка не чистят регулярно, мягкий зубной налет, содержащий миллионы бактерий, накапливается и прочно фиксируется на их поверхности, создавая постоянный источник кислотной атаки.
Эти микроэлементы являются основными «строительными блоками» для крепкой эмали. Их недостаток делает зубные ткани более слабыми, пористыми и уязвимыми перед кариесом.
Эмаль только что прорезавшихся молочных зубов более тонкая и пористая, чем у постоянных, поэтому она легче и быстрее повреждается кислотой. Это является предрасполагающим фактором для быстрого развития кариеса.
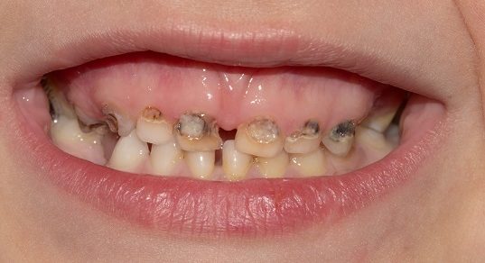
Как выглядит бутылочный кариес – первые симптомы
Внешние проявления бутылочного кариеса развиваются поэтапно, и важно заметить их как можно раньше:
- Матовые или меловидные пятна на передних зубах. Это самый первый и часто упускаемый симптом. На гладкой поверхности эмали, особенно у шейки зубов (возле десны), появляются белесые, лишенные блеска участки. Они сигнализируют о начале процесса деминерализации – вымывании кальция из эмали.
- Постепенное потемнение и разрушение эмали. Если не принять мер, белые пятна начинают пигментироваться – становятся желтыми, коричневыми, а затем черными. Эмаль в этих местах размягчается, и возникает кариозная полость (дупло), которая постепенно углубляется и расширяется.
- Появление чувствительности и неприятного запаха. Ребенок может начать реагировать плачем или капризами на горячую, холодную или сладкую пищу, так как разрушение достигает более чувствительных слоев зуба. Продукты жизнедеятельности бактерий и разлагающиеся остатки пищи в кариозных полостях вызывают устойчивый неприятный запах изо рта (галитоз).
- В запущенной стадии – откол и воспаление дёсен. Пораженные кариесом зубные ткани становятся хрупкими, и часть коронки может легко отломиться. Инфекция распространяется вглубь, поражая пульпу («нерв») и переходя на окружающие ткани, что вызывает воспаление и покраснение десны, а иногда и образование гнойника (флюса).
Циркулярный кариес у детей – особенности
Циркулярный кариес у детей – это особая и очень агрессивная форма бутылочного кариеса. Его ключевая особенность в том, что разрушение начинается не с отдельного пятна, а опоясывает шейку зуба по всей окружности, как пояс. Поскольку эмаль в этой области наиболее тонкая, кариес быстро прогрессирует вглубь и вширь, приводя к отлому коронковой части. Это делает циркулярный кариес особенно опасным, так как он может привести к полной потере зуба за короткий срок.
Этот процесс чаще всего поражает верхние резцы и клыки, которые наиболее активно контактируют с содержимым бутылочки. Из-за стремительного развития циркулярный кариес требует безотлагательного стоматологического вмешательства. Главная опасность заключается в высоком риске ранней потери молочных зубов, что влечет за собой серьезные последствия – нарушение процесса жевания, дикции и формирования правильного прикуса у ребенка.
Чем опасен бутылочный кариес
Бутылочный кариес опасен не только разрушением молочных зубов, но и серьезными последствиями для всего организма ребенка. Без своевременного лечения кариозный процесс стремительно прогрессирует, полностью разрушая эмаль и проникая вглубь зуба к пульпе («нерву»), вызывая пульпит, который сопровождается сильной болью.
Распространяясь, инфекция вызывает хроническое воспаление десен и слизистой оболочки полости рта. Более того, патогенные бактерии и гной из инфицированного корня молочного зуба могут повредить формирующиеся прямо под ним зачатки постоянных зубов.
Одним из самых тяжелых последствий бутылочного кариеса, если ребёнку год, является ранняя потеря молочных зубов. Их отсутствие нарушает процесс правильного пережевывания пищи, приводит к смещению соседних зубов и формированию неправильного прикуса. Это может вызывать дефекты речи из-за отсутствия фронтальных зубов, необходимых для произношения звуков.
Как лечить бутылочный кариес у ребёнка
Выбор метода лечения бутылочного кариеса зависит от глубины и масштаба поражения:
Этот метод эффективен, когда кариес находится в стадии белого пятна и целостность эмали еще не нарушена. Стоматолог наносит на зубы специальные составы, которые насыщают ослабленные участки минералами, укрепляя их и останавливая развитие кариеса. Курс процедур часто дополняется домашним уходом по назначению врача.
Если на зубе образовалась кариозная полость, необходимо ее очистить и запломбировать. Для этого используются современные детские пломбировочные материалы, часто цветные, которые надежно закрывают дефект и предотвращают дальнейшее разрушение. Этот метод позволяет полностью восстановить форму и функцию зуба.
Когда поражение обширное и затрагивает несколько зубов, а ребенок мал и не может усидеть в кресле, требуется обезболивание. Для простого лечения применяется местная анестезия. В сложных случаях, когда нужно вылечить много зубов за один раз, или при паническом страхе ребенка, лечение проводят под седацией или общим наркозом (в условиях стационара), чтобы провести всю работу качественно и без психологической травмы для малыша.
Поскольку бутылочный кариес – это процесс, часто поражающий несколько зубов одновременно, врач всегда проводит осмотр и профилактическую обработку всех зубов в полости рта. Это может включать покрытие здоровых или начавших разрушаться зубов защитными фтор-лаками или герметиками для создания барьера против кариеса.
Как ухаживать за зубами ребёнка после лечения
После проведенного лечения бутылочного кариеса крайне важен комплексный и дисциплинированный уход, направленный на предотвращение рецидива. Основой является регулярная гигиена. Зубы ребенку необходимо чистить 2 раза в день, используя для этого щетку с мягкой щетиной, которая не травмирует эмаль и десны.
Строгое правило – после вечерней чистки зубов нельзя давать ребенку никакой другой пищи или напитков, кроме обычной воды. Ночные кормления сладкими жидкостями должны быть полностью исключены. Для укрепления эмали следует использовать детскую зубную пасту, содержащую фтор в безопасной для возраста концентрации, так как фтор выступает главным защитником зубов от кариеса. Завершающим элементом является регулярное наблюдение у специалиста. Профилактические осмотры у стоматолога каждые полгода позволяют вовремя заметить новые проблемы и провести необходимые профилактические процедуры.
Профилактика бутылочного кариеса у детей
Эффективная профилактика бутылочного кариеса строится на формировании правильных привычек ухода и питания с самого раннего возраста. Краеугольным камнем является полный отказ от кормлений сладкими жидкостями, такими как молоко, смесь или соки, непосредственно на ночь и в течение ночи, поскольку в это время защитные свойства слюны значительно снижаются.
Гигиена полости рта должна начинаться с момента прорезывания первого молочного зуба. Для этого используются специальные щетки и пасты, соответствующие возрасту ребенка. Крайне важно ограничить потребление сладостей и липких продуктов, которые надолго прилипают к поверхности зубов, создавая идеальную среду для размножения бактерий.
Родителям также следует избегать облизывания пустышки или ложки ребенка, чтобы не передавать ему свои кариесогенные бактерии. Завершающим и обязательным элементом профилактики являются регулярные осмотры у детского стоматолога, которые позволяют своевременно выявить начальные признаки проблемы и провести профессиональную профилактическую обработку зубов.
Бутылочный кариес у детей до года
Бутылочный кариес молочных зубов у детей раннего возраста представляет особую опасность, так как эмаль только что прорезавшихся резцов очень тонкая и уязвимая. Основной причиной является привычка засыпать с бутылочкой, содержащей молоко, смесь или сладкий компот, из-за чего зубы всю ночь подвергаются воздействию углеводов.
Профилактика бутылочного кариеса у детей до года требует особой дисциплины, так как эмаль первых зубов очень тонкая и уязвимая:
Многие родители откладывают визит к стоматологу, считая, что молочные зубы лечить необязательно. Однако первый осмотр рекомендуется провести сразу после прорезывания первых зубов или не позднее достижения ребенком одного года. Врач оценит риски, состояние эмали и даст персональные рекомендации.
Это ключевое правило. Если ребенок засыпает во время кормления, необходимо аккуратно убрать бутылочку изо рта. Длительный контакт сладкой жидкости (даже молока) с зубами во время сна, когда слюноотделение минимально, является главной причиной мгновенного развития кариеса.
После каждого кормления, особенно перед сном, необходимо аккуратно очищать поверхность зубов и десны. Для этого идеально подходят специальные дентальные салфетки или силиконовый напалечник, смоченный кипяченой водой. Это механически удаляет остатки пищи и молока.
Не стоит ждать, пока прорежутся все зубы. Гигиена полости рта должна начинаться в тот самый день, когда вы увидели первый резец. Это создает правильную привычку и сразу удаляет бактериальный налет.
Часто задаваемые вопросы родителей
Как выглядит бутылочный кариес?
Бутылочный кариес чаще всего выглядит как матовые белые или желтовато-коричневые пятна и полосы, которые локализуются на передних верхних зубах прямо у линии десен. На начальной стадии эти меловидные участки могут быть почти незаметны, но со временем они темнеют, превращаясь в явные кариозные поражения. Эмаль в зоне пятен становится шероховатой и теряет блеск. При прогрессировании заболевания на месте пятен образуются кариозные полости, которые постепенно охватывают всю придесневую часть зуба.
Да, лечить бутылочный кариес у ребенка до 2 лет не только можно, но и крайне необходимо. Современная детская стоматология предлагает щадящие и безболезненные методы, позволяющие работать с самыми маленькими пациентами. На ранней стадии успешно применяется реминерализующая терапия – укрепление эмали специальными гелями и лаками. При наличии полостей используется пломбирование, а для обеспечения комфорта ребенка лечение может проводиться под местной аппликационной анестезией или, в случае большого объема работы, в условиях медикаментозного сна.
Бутылочный кариес поражает в основном передние зубы из-за механизма сосания. Во время кормления из бутылочки язык прикрывает нижние резцы, а верхние передние зубы постоянно омываются сладкой жидкостью. Особенно разрушительно ночное кормление, когда количество защитной слюны уменьшается. В результате молоко или смесь надолго остаются на эмали верхних резцов и клыков, создавая идеальную среду для кариесогенных бактерий.
Чтобы избежать повторного появления кариеса, необходимо строго соблюдать гигиену полости рта, чистя зубы дважды в день пастой с подходящей по возрасту концентрацией фтора. Крайне важно полностью исключить ночные кормления сладкими напитками из бутылочки, заменив их простой водой, если это необходимо. Регулярные профилактические осмотры у стоматолога каждые 3-6 месяцев позволят вовремя выявить и устранить первые признаки проблемы. Соблюдение этих правил создаст надежную защиту для зубов вашего ребенка.
Заключение
Бутылочный кариес у детей – серьезная, но полностью предотвратимая проблема. Ключ к успеху заключается в последовательном соблюдении 2-х правил: регулярной гигиены полости рта и строгого контроля питания, особенно исключения ночных кормлений сладкими напитками. Своевременное обращение к стоматологу и лечение на ранних стадиях позволяют остановить разрушение зубов и предотвратить тяжелые осложнения, такие как пульпит и нарушение прикуса. Крайне важно формировать правильные привычки ухода с момента появления первого зуба, чтобы заложить основу для здоровья постоянных зубов в будущем. Бутылочный кариес у детей как лечить расскажет на приеме доктор, но делать это следует как можно раньше. Поэтому так важны профилактические осмотры каждые 6 месяцев – это надежная инвестиция в здоровую улыбку вашего ребенка.

в соответствии с рекомендациями Минздрава
